北京高博医院创新手术——生物可吸收镁合金螺钉破解十年拇外翻困扰
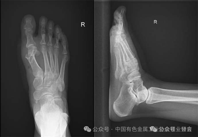
近日,北京高博医院数字骨科中心为饱受拇外翻困扰十年的赵女士(化名)实施矫正手术,术中创新采用“生物可吸收镁合金加压螺钉”作为内固定材料,不仅精准矫正足部畸形、缓解疼痛,更避免了传统金属植入物需二次手术取出的弊端,为患者带来更优质、更便捷的诊疗体验,也彰显了医院在足踝外科领域的技术突破与创新实力。 今年42岁的赵女士,右足拇外翻畸形已困扰她整整十年。数字骨科中心闫超主任详细询问赵女士病史、查体后,结合影像学检查结果,医护团队对赵女士的身体状况进行了全面评估,考虑到赵女士的病情特点,以及对术后恢复、生活质量的高要求,闫超主任团队进行了充分的术前研讨,最终为其制定个性化的微创拇外翻矫正手术方案,并决定采用“生物可吸收镁合金加压螺钉”作为术中内固定材料。 据悉,该螺钉是国家药品监督管理局批准的创新产品,具备高强度、生物可吸收、促骨生长、抗感染等多重优势。该螺钉抗拉强度介于骨骼和钛之间,能为骨骼愈合提供稳定支撑;植入后,约12个月内可降解转化为骨组织,无需二次手术取出,极大减少了患者的痛苦和二次感染风险;同时,其降解过程中释放的镁离子可形成碱性环境,抑制细菌生长,降低术后感染概率,且能刺激骨细胞增殖,促进骨再生,助力患者快速康复;此外,该螺钉在CT和MRI中伪影极少,便于术后影像评估,为后续康复指导提供精准依据。 术后,赵女士生命体征平稳,右足疼痛明显缓解,在医护团队的专业护理和康复指导下,逐步进行功能锻炼。目前,赵女士恢复状况良好,已能自主进行简单活动,足部畸形得到矫正,困扰她十年的顽疾终于得到解决。 术后足部影像 螺钉影像 此次生物可吸收镁合金加压螺钉在拇外翻矫正手术中的成功应用,不仅为赵女士带来了福音,也标志着北京高博医院在足踝外科微创治疗领域与国际前沿技术接轨,进一步提升了医院骨科疾病的诊疗水平。未来,我院将持续深耕数字化精准医疗,不断探索和应用前沿诊疗技术与创新产品,为广大骨骼肌肉疾病患者提供更安全、高效、便捷的全周期诊疗服务,助力患者重拾健康,轻松行走。 end

最新资讯
-
04-13
Mysteel调研:硅铁盘面弱势 河钢询盘出价(4月10日)
-
04-13
Mysteel日报:硅铁市场震荡观望 招标陆续进场
-
04-13
Mysteel日报:镁合金原料价格松动 市场观望情绪浓厚
-
04-13
Mysteel日报:实单议价采购 镁价保持平稳
-
04-13
Mysteel日报:硅铁市场震荡运行 供需弱稳博弈
-
04-13
爱柯迪投5.86亿元启动“年产450万件镁合金精密压铸件项目”...
-
04-13
辰致轻量化5000T镁合金TPI半固态注射成型产线首样试制圆满成功...
-
04-13
府谷县确定2026年原镁及镁合金产量目标,将加快两个重大镁基新材料项目建设!...
-
04-13
第83届世界镁业大会代表将在加拿大蒙特利尔举行-预注册开始...
-
04-13
SMM尚镁网周评(4.7-10):镁市稳中窄幅调整
-
04-13
榆林锻造全球镁业竞争新高地
-
04-13
SMM尚镁网4.8日镁市场简评:镁市平稳运行
-
04-13
宝钢金属牵头制定3项关键镁合金团体标准助力新能源汽车轻量化加速发展...
-
04-13
畏高情绪主导需求端 镁锭高位盘整后显露颓势
-
04-13
镁市周评(4.05~4.11)
-
04-13
府谷镁产量(3月份)
-
04-13
镁基固态储氢技术落地哈密!哈密氢灏能源装备携手上海交大,助力新疆绿氢产业高质...
-
04-13
北京高博医院创新手术——生物可吸收镁合金螺钉破解十年拇外翻困扰...
-
04-13
镁市回顾(4.7-4.10日)
-
04-13
国家镁质检中心开放共享高端设备 精准服务助力企业创新发展...
-
04-13
万丰轻量化助力张雪机车WSBK葡萄牙站夺冠
-
04-13
西安交大研究人员在低成本高纯镁制备领域取得重要进展——从工业结垢中找到解药,...
-
04-13
加码镁合金压铸赛道 博俊科技携手力劲集团共拓镁业新蓝图...
-
04-13
筑巢引 “镁” 精准招商 —— 青阳经开区以项目落地激活产业发展新动能...
-
04-13
镁市场:周三镁市,延续稳定
-
04-07
拓多品类仓储再下一城:物流园区镁锭仓储业务正式落地
-
04-07
镁市周评(3.29~4.04)清明时节到,镁市春意浓
-
04-04
2026年4月3日镁报价及周评:本周镁市场延续强劲上行态势,强势运行格局进一步固化...
-
04-04
周涨500元!4月3日镁价再续涨势,轻金属风口下后市可期
-
04-04
连涨两日!镁合金四月开门红,为何机构集体看好?
-
04-04
每日镁价(4.1)
-
04-04
硅铁周评:稳中震荡回落 跌幅相对有限
-
04-04
金属镁周评:连续两周上涨 累涨已达八百
-
04-04
Mysteel调研:硅铁盘面震荡 原料走势各异(4月3日)
-
04-04
Mysteel日报:硅铁市场成本端坚挺 需求仍显韧性